[ad_1]
Doctors have issued a fresh alert over a killer drug-resistant fungus dubbed a ‘threat to humanity’ after it struck a man’s brain in the UAE.
Candida auris (C. auris)—described by the World Health Organisation as one of 19 lethal fungi posing a ‘serious threat to humanity’—is spreading in hospitals worldwide and becoming increasingly resistant to the handful of medicines that work against it.
Since its discovery, the fungus has been linked to deaths around the world, with fatality rates estimated at roughly one in three cases.
In the newly reported case, a 34-year-old man developed the infection nearly three months after suffering a traumatic brain injury in a car crash.
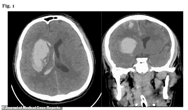
Medics at Saqr Hospital in Ras Al-Khaimah said he was admitted to intensive care bleeding from his mouth, with several cuts and a severe scalp laceration.
Scans revealed multiple brain bleeds and he underwent an emergency procedure where part of the skull is removed to relieve pressure.
He spent three weeks in intensive care before being moved to a ward, undergoing further surgeries and antibiotic treatment over the next two months.
Tests carried out after surgery to remove excess fluid from the brain on his 99th day in hospital showed he had a C. auris infection.
The anonymous 34-year-old was diagnosed with deadly Candidozyma auris (C. auris) almost three months after suffering a traumatic brain injury in a car crash
Four types of fungi were included in the World Health Organization’s critical priority group: Aspergillus fumigatus, Candida albicans, Cryptococcus neoformans, and Candida Auris
The fungus, first identified in 2009, can survive on hospital surfaces and the skin for long periods, is often resistant to disinfectants and medication, and can spread to the blood, brain, spinal cord, bones, abdomen, ears, lungs and urinary system.
Doctors prescribed the patient three weeks of antifungal injections, followed by two drugs via an IV drip for 15 days and then an 11-day course of antifungal tablets, stopping only when blood tests came back clear.
Repeat tests showed the infection had been eliminated, and he was discharged after seven months in hospital.
Writing in the Journal of Medical Case Reports, his doctors said: ‘The excessive use of antifungal agents in agriculture and healthcare has contributed to the development of antifungal resistance in C. auris.
‘To our knowledge, this is the first case report documenting successful management of a C. auris external ventricular shunt infection without the use of intrathecal antifungal administration.’
For years, fungal infections have been treated with a small number of drugs, but research shows most are becoming increasingly resistant—a trend driven by overuse, particularly in countries where antifungals can be bought over the counter.
People with weakened immune systems, those who have recently received healthcare abroad, spent long periods in hospital or intensive care, or been treated with certain antibiotics, are at higher risk.
In the UK, C. auris is now a notifiable infection, meaning all cases must be reported to help control outbreaks.
While C. auris was only discovered 16 years ago, it is already one of the world’s most feared microbes and kills around a third of those infected. Pictured, a strain of Candida auris cultured in a petri dish
It is so deadly that the World Health Organisation has identified it as one of 19 lethal fungi that pose a ‘serious threat to humanity’
C. auris was first discovered in 2009 in the ear of a Japanese patient and has since been detected in more than 40 countries across six continents.
It thrives in hospitals, where it can cling to surfaces and equipment for weeks, and is able to survive on human skin without causing symptoms—making it easy to spread between patients.
Once inside the body, often through wounds or contaminated medical equipment, it can cause devastating infections that spread to vital organs.
The World Health Organisation has included it in its list of priority fungal pathogens, warning it poses a ‘serious threat to humanity’ alongside three other dangerous species—Aspergillus fumigatus, Candida albicans and Cryptococcus neoformans.
Experts say the overuse of antifungal medicines in healthcare and even in agriculture has helped the fungus build up resistance, leaving doctors with fewer options to treat it.
In many developing countries, such medicines are available over the counter without prescription, fuelling misuse and making it easier for resistant strains to emerge.
Patients most at risk are those with weakened immune systems, people who have recently been in intensive care, and those who have been treated with certain antibiotics.
In the UK, all cases must now be reported to health authorities in a bid to stop outbreaks before they take hold.
[ad_2]
This article was originally published by a www.dailymail.co.uk . Read the Original article here. .
