[ad_1]
A man was blinded and deformed after a parasite began breeding in his eyeball.
The unnamed 30-year-old in India developed a grapefruit-sized tumor on his eyelid that stretched down to his chest.
It began five years ago with some subtle swelling on his left eye but over the years grew so large it stretched the skin on his face, pulling the tissue that would’ve bordered his eye, leaving him unable to see.
When he finally sought help, doctors discovered a parasite that causes growths in the nose and structures of the eye.
The medical team believe the tumor was the body’s way of reacting to the parasite, inflaming the surrounding tissue.
They aren’t sure how long the man had the parasite in his body, and where he got it from, but other people who catch the disease usually get it from swimming or bathing in rural areas or in creeks near farms.
The doctors determined the unidentified man had an angiofibroma, a giant tumor, with associated rhinosporidiosis, a parasitic infection.
The two rarely occur simultaneously, the team wrote in a case report.
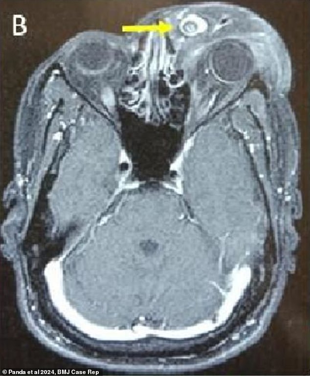
A brain scan before the surgery showed the mass, made of skin and blood tissue, that clung to the man’s left eyelid
The tumor, which was six inches in diameter and clung to a three inch long flap of eye tissue, was not cancerous, but still caused debilitating side effects.
The man’s tumor grew so large it obscured his eye socket, leaving him unable to see
Surgeons at the All India Institute of Medical Sciences operated to remove the mass from his eye, snipping the ‘huge’ deformed blood vessels that had grown to support the lump, attempting to avoid massive blood loss.
The surgery was a success and within three months, the man’s eye had returned to normal, and he was able to see once again, the authors reported in The British Medical Journal.
Infections with rhinosporidiosis are rare, but most commonly reported in tropical regions of India and Sri Lanka, though some cases have also been documented in South America, Africa and the US.
A 2021 study reported 286 cases of the condition between 1896 and 2019, with approximately 34 of those cases occurring in the US.
Most people with rhinosporidiosis are 11 to 40 years old and the condition is more common in men.
The disease isn’t deadly, and in some cases, people live with the lumps for a long time. One man reportedly lived with rhinosporidiosis for 30 years, according to Medscape.
Scientists have been stumped by the parasite that causes the infection, Rhinosporidium seeberi, for over a century, since it was first identified in 1900.
Doctors performed surgery on the case study patient to remove the massive growth from his face
They have not been able to grow the parasite in a lab to study it – and scientists disagree on whether it’s a bacteria or fungus.
They know people who live in rural areas, live on farms and bathe in ponds or rivers are at higher risk for contracting the parasite.
Healthcare workers have found it hard to treat the disease, and tend to opt for surgery to cut it out. This doesn’t always work, however, as many people who develop the disease end up experiencing recurrent lumps.
In a few cases, doctors have successfully used an antibiotic cream called dapsone to address the problem, according to Medscape.
More mysterious still is the case of the Indian man. The researchers said rhinosporidiosis ‘rarely’ takes place at the same time as angiofibromas.
These are non-cancerous tumors that form out of a combination of the connective tissue of the skin, like collagen, and blood vessels.
The above shows a patient with a rhinosporidiosis infection, the same infection the Indian case study patient had
They are often caused by genetic disorders, and usually form inside the nose – making it difficult to breathe and causing sinus, eyes or skull problems, according to the University of Pittsburgh Medical Center.
The most common treatment for this is surgery. Sometimes, radiation or hormone therapy is used to shrink the remnants of the tumor that aren’t accessible with a scalpel.
The man in the case study didn’t appear to have any of the genetic conditions that are most commonly associated with this type of tumor.
The authors wrote that when they tested the cells within the tumor, they found little bits of rhinosporidiosis parasites throughout the fleshy mass.
This suggests the tumor may have been the body’s way of reacting to the intruder – inflaming the tissue until it clustered around the parasite, trying to contain or fight it off.
Doctors wrote his case ‘highlights complexity of diagnosis and management of this rare combination of pathologies emphasizing the need for careful treatment planning.’
[ad_2]
This article was originally published by a www.dailymail.co.uk . Read the Original article here. .
